
Du kan dø af hjertesorg
Sorgen er ubeskrivelig, når du mister en, du har kær – den kan endda være så voldsom, at den lammer dit hjerte.
Dit hjerte bliver knust, når en, du har kær, dør. Sorgen er altoverskyggende. Det kan ligefrem føles som om, at hele kroppen er i smerte. Og måske er der faktisk noget om det ellers så fortærskede ordsprog: ”Hjerte rimer på smerte”, for mange oplever tabet af et familiemedlem eller en nær ven direkte fysisk, og i sjældne tilfælde kan sorgen føre til, at nerveaktivteten fra hjernen er så voldsom, at den overbelaster hjertet i sådan grad, at det delvist lammes. Det kaldes ”Broken Heart Syndrome”, og hvert år bliver omkring 30 personer indlagt med diagnosen, fortæller læge Thomas Emil Christensen ved Holbæk Sygehus, der tidligere har været hovedmand bag forskningsprojektet om Broken Heart Syndrome på Rigshospitalet. Diagnosen er bestemt ikke ufarlig, for når hjertet pludselig ikke pumper ordentligt, kan man faktisk dø, og et forsigtigt skøn er, at omkring tre danskere årligt dør af Broken Heart Syndrome. Der tegner sig altså et billede af, at det ikke bare er hjernen, der reagerer, når du er psykisk overbelastet. Vores hjerne er nemlig indrettet sådan, at den sorg, vi oplever efter f.eks. at have mistet en person, refererer direkte til hjertet og danner hjertesmerte.
Sådan føles det at have Broken Heart Syndrome
Du kan nok fremkalde dig følelsen af at have tandpine, eller når du har fået en skramme på knæet, spørgsmålet er dog, hvordan det føles at få sit hjerte knust – bogstaveligt talt?
”Nogle beskriver det som en følelse af et bælte, der er strammet helt ind omkring brystkassen”, indleder Thomas Emil Christensen for så yderligere at forklare:
”Man vil med andre ord opleve stærke smerter i bryst og i nogle tilfælde bliver man ramt af svimmelhed, især i den akutte fase. Derudover vil man opleve åndenød ved fysisk aktivitet, og der skal ikke ret meget til, før man bliver forpustet. En anden tydelig indikator er desuden en overvældende træthed. Og alle disse symptomer skyldes simpelthen, at hjertet ikke arbejder, som det skal.”
Symptomerne kan dog til forveksling ligne de samme som ved en blodprop i hjertet, og mange bliver også indlagt med den mistanke. Men ved mere indgående undersøgelser vil man se, at et ”Broken Heart” ser helt anderledes ud, siger Thomas Emil Christensen:
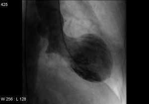
”Det første, vi som læger gør, er at undersøge hjertets kranspulsårer for at se, om der sidder en blodprop i hjertets blodkar – det vil der ikke gøre hos en patient med Broken Heart Syndrome. Dernæst foretager vi en ultralydsscanning for at få en fornemmelse af, hvordan hjertet pumper, og her vil man se, at hjertemusklen trækker sig sammen på en speciel måde. Forestil dig, at spidsen og den midterste del af hjertets for- og bagvæg ikke trækker sig sammen. Hjertet er med andre ord helt slapt nedadtil og pumper normalt opadtil.”
Sagt med andre ord pumper hjertet ikke, som det skal, og det er ikke bare noget, der kan mærkes, det er sådan set også noget, der kan ses. Thomas Emil Christensen beskriver, at hjertet får form som en vase, simpelthen fordi dele af hjertet holder op med at slå, og at dets venstre hovedkammer svulmer op.

Især en gruppe får stillet diagnosen
Sorg har ingen alder, men Broken Heart Syndrome rammer primært én specifik gruppe, navnlig ældre kvinder mellem 65-70 år.
”Der er ingen, der ved, hvorfor sygdommen rammer netop denne gruppe”, siger Thomas Emil Christensen og fortsætter:
”På forskningsområdet famler vi stadig i blinde, når vi skal forsøge at forstå, hvad der ligger til grund for denne forskel. Der er rigtigt mange, der interesserer sig for, hvorfor kvinders hjerter tilsyneladende er mere følsomme over for psykisk belastning end mænds. Der kan jo forelægge flere årsager: Det kan være, kvinder reagerer voldsommere på psykisk stress. Det kan også være, at mænds hjerter er mere robuste over for stresshormoner, end kvinders er. Der kan også være tale om faktorer uden for hjertet.”
Det eneste, man altså med sikkerhed ved, er, at ældre kvinder er i større risiko for at blive ramt af Broken Heart Syndrome.
Kuren mod et knust hjerte
Der findes faktisk ikke nogen specifik kur mod Broken Heart Syndrome, fortæller Thomas Emil Christensen:
”Når diagnosen stillet, bliver patienten behandlet på samme måde, som man vil behandle folk med det, vi kalder hjertesvigt. Det gør vi med medicin, der aflaster hjertet.”
I de fleste tilfælde ser prognoserne for patienterne heldigvis rigtig gode ud. Hvis man ellers er sund og rask er der tale om et midlertidigt svigt, hvor hjertet efter nogle uger eller måneder fungerer normalt igen. Og selvom sorgen over tabet af et familiemedlem eller nær ven ikke er en let forbipasserende tilstand, vil misdannelserne i hjertet hos en patient med Broken Heart Syndrome forsvinde relativ hurtig efter, behandlingen er påbegyndt. Man kan dog opleve åndedrætsbesvær og øget træthed i op til flere måneder efter.
Broken Heart Syndrome er på én og samme tid både en mystisk, men også fascinerende hjertesygdom, den giver os nemlig et praj om, at krop og sind er meget mere forbundet end som så – hjertet er altså ikke bare en pumpe uden følelser. Den oldgræske filosof Aristoteles sagde da også engang, at ”sjælen sidder i hjertet”.
FIND DIN LOKALE BEDEMAND


